Emerging evidence strongly indicates that dysregulation of chemical modifications in DNA or RNA leads to hematopoietic malignancies, including acute myeloid leukemia (AML). Tet methycytosine dioxygenases 2 (TET2) mutations have been characterized in 15-20% AML and its deficiency promotes leukemogenesis and leukemia stem cell (LSC) self-renewal. However, the underlying cellular/molecular mechanisms have yet to be fully understood. TET2 catalyzes the demethylation of DNA 5-methylcytosine (5mC) and plays a central role in transcriptionally regulating gene expression. Besides DNA methylation, recent studies support a novel function for TET2-mediated demethylation of methyl-5-cytosine (termed as 'm5C' to distinguish from DNA 5mC) in mRNAs. However, it is totally unknown whether and (if so) how TET2-induced mRNA m5C demethylation contributes to leukemogenesis (or tumorigenesis in general).

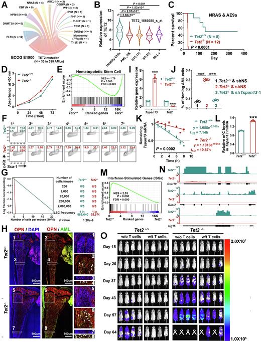
To evaluate the role of Tet2 in de novo leukemogenesis, we have generated various AML models driven by AML1-ETO9a (AE9a, from t(8;21)), MLL-AF9 (MA9, from MLL-r/t(11q23)), PML-RARA (from t(15;17)), and NRAS mutation. Such selection is clinically relevant because TET2 mutation and/or transcriptional suppression have been frequently observed in those AML subtypes (Fig. 1A and B). Notably, Tet2 depletion dramatically promoted primary leukemogenesis in vivo (Fig. 1C). Strikingly, Tet2 depletion had very weak effects on the growth/proliferation of primary AML cells in liquid culture in vitro (Fig. 1D). Collectively, Tet2 deficiency led to fast development of AML and such effect is unlikely due to enhanced cell proliferation.

To decipher the underlying mechanism(s), we collected the primary Tet2-/- and Tet2+/+ AML cells for transcriptome-wide RNA-seq and found that Tet2 deficiency significantly increased expression of the genes enriched in the "Hematopoietic Stem Cell" pathway (Fig. 1E). Via flow cytometry, we showed that Tet2 deficiency significantly increased the Linc-Kit+Sca-1+ (LSK) primitive cell population (Fig. 1F). Via in vivo limiting dilution assay (LDA), we showed that Tet2 deletion significantly increased LSCs frequency by over 30-fold (Fig. 1G). During leukemogenesis, the homing and/or anchoring of LSC into the BM niche plays a predominant role to facilitate LSC self-renewal in vivo. Via in situ confocal imaging, we observed that there were more Tet2 deficient-AML cells migrating into the BM-derived stromal cells relative to the Tet2+/+ group (Fig. 1H). Further studies revealed that Tetranspanin 13 (Tspan13), a core enriched gene in the "Hematopoietic Stem Cell" pathway, is a functionally essential target of Tet2. Tet2 deficiency stimulated Tspan13 expression in primary AML cells (Fig. 1I) and genetic depletion of Tspan13 could substantially reverse the increased LSC homing (Fig. 1J) and self-renewal ability caused by Tet2 depletion. Tet2 deficiency-mediated upregulation of Tspan13 is not dependent on DNA demethylation or transcriptional regulation, but dependent on mRNA demethylation and post-transcriptional regulation (Fig. 1K). Specifically, Tet2 deficiency led to the accumulation of m5C in Tspan13 mRNA (Fig. 1L), and Y-box binding protein 1 (Ybx1), the m5C "reader", could recognize m5C modification, stabilize Tspan13 transcript, and increase its overall expression. The increased expression of Tspan13 further activated the CXCR4/CXCL12 axis, which pays a dominant role in trafficking LSCs into BM niche.

In addition to the BM stromal cells, the leukemia microenvironment contains various immune cells which mediate the anti-tumor immune response. Tet2 deficiency remarkably suppressed various immune-related pathways, especially the signaling and genes which are related to interferon (IFN) responses. Specifically, Tet2 deficiency transcriptionally suppressed the expression of IFN-stimulated genes (ISGs), especially Cxcl10, Oasl2, and Isg1 (Fig. 1M and N), via DNA 5hmC modification. Consequently, Tet2 deficiency in AML cells suppressed the recruitment of CD8+ T cells, but not other types of immune cells, and conferred AML cells resistance to CD8+ T cell-mediated antileukemia immunity (Fig. 1O).

Collectively, our studies uncover previously unappreciated roles and underlying molecular mechanisms of TET2 in regulating BM niche programing, LSC homing/self-renewal and immune response in AML pathogenesis, as both RNA and DNA demethylase.

Rosen:January Therapeutics: Current holder of stock options in a privately-held company. Marcucci:Abbvie: Other: Speaker and advisory scientific board meetings; Novartis: Other: Speaker and advisory scientific board meetings; Agios: Other: Speaker and advisory scientific board meetings.

Author notes

*

Asterisk with author names denotes non-ASH members.

Sign in via your Institution